Kiedy na skórze pojawia się wysypka lub dziwne plamki, wiele osób odruchowo bagatelizuje problem. Poniższe historie to relacje osób, które zignorowały pozornie drobne dolegliwości — a okazały się one oznaką poważnych chorób.
#1

To nie ja, lecz mój mąż. W marcu 2012 r. budził się z bólem w prawym dolnym brzuchu, który trwał około pięciu minut i znikał na resztę dnia. Po około dziesięciu dniach namówiłam go na wizytę. Lekarz odesłał go na tomografię — po godzinie wrócił asystent medyczny z wynikami i powiedział: „Ma pan raka nerki w stadium 4. Proszę zadzwonić jutro do lekarza, żeby omówić leczenie.” Mniej niż trzy miesiące później mój mąż, mój partner przez 41 lat, nie żył już w domu, otoczony rodziną.
#2

Moja siostra zauważyła bezbolesne guzki na szyi i pod żebrami. Lekarze początkowo tłumaczyli to nagromadzeniem tłuszczu, ale kiedy zaczęła tracić 20 kg i nie mogła podnieść nogi, zrobiono jej badania. Okazało się, że ma gruźlicę mózgu, a usunięte guzki z piersi dały wynik pozytywny na raka — pierwotnie była to rak piersi z przerzutami do mózgu. Po pierwszej chemioterapii stan gwałtownie się pogorszył; trafiła na respirator i zmarła 10 stycznia 2021 r. Prośba: nigdy nie ignoruj nietypowych objawów, a gdy masz wątpliwości co do diagnozy — szukaj drugiej opinii.
#3

Miałam 15 lat, gdy wyczułam guzek na boku szyi. Początkowo lekceważyłam to i lekarze też. W końcu skierowano mnie do szpitala dziecięcego w Birmingham — rozpoznano u mnie raka nosogardzieli w stadium 3. Guz był duży i szybko się rozrastał. Rozpoczęłam chemioterapię następnego dnia; lekarz powiedział, że gdyby diagnoza opóźniła się miesiąc, przerodziłoby się to w stadium 4 i bym nie przeżyła.
#4

Moja córka miała nawracające zapalenie pęcherza i bóle pleców — myśleliśmy, że to kamień nerkowy. Po badaniach okazało się, że w nerce jest ogromny złośliwy guz, który dał przerzuty do płuc, wątroby, kręgosłupa, pęcherza i macicy. Została przyjęta do szpitala i zmarła dokładnie dwa tygodnie później. Nie mieliśmy pojęcia, jak poważne to było — wcześniej czuła się dobrze.
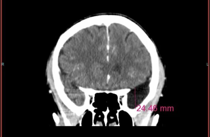
#5

Chodziłem do placówki wojskowej z powodu infekcji zatok i bólów głowy. Zrobiono mi tomografię i lekarz zalecił MRI. Okazało się, że mam zmianę kostną, która „zjadła” fragment czaszki. Chirurgia była konieczna, operacja została pokryta przez placówkę i zakończyła się sukcesem — zmiana była łagodna. Dziś wróciłem do aktywności, gram w siatkówkę i golfa — miałem szczęście, bo nie miałem żadnych objawów.
#6

Jako dziecko zauważyłam pod paznokciem u babci małą siniakowatą plamkę, która nie znikała przez miesiące. Natarczywie namawiałam ją, żeby poszła do lekarza — śmiała się, ale obiecała. Okazało się, że zmiana to złośliwy nowotwór i konieczna była amputacja kciuka. Gdyby poszła do lekarza później, prawdopodobnie by jej już nie było.
Reklama
#7

Mój tata skarżył się na silne bóle głowy, myślał, że potrzebuje nowej recepty na okulary. Po jednym ataku, który go powalił, zabraliśmy go na SOR. Tomografia ujawniła guz mózgu. Operowali go dwa dni później po zmniejszeniu obrzęku; dano mu przewidywanie 3–6 miesięcy życia, ale przeżył 6,5 roku i spędził ten czas z rodziną, doświadczając niewielkich skutków ubocznych poza wrażliwością na hałas i tłumy.
#8

Po zadrapaniu się o metal pojawił się czerwony, swędzący guzek, który przerodził się w bolesną zmianę z żółtym środkiem. Po trzech tygodniach dermatolog wykonał biopsję — rozpoznano rogowiak kolczystokomórkowy (rak skóry). Zdarzyło się to szybko, od niewielkiego zadrapania.
#9

W wieku 35 lat zauważyłam czerwoną plamę na prawej piersi, która nie znikała i puchła. Lekarz najpierw podejrzewał zapalenie sutka i przepisał antybiotyki, ale bez poprawy. Po samodzielnym wyszukaniu informacji trafiłam na opis zapalnego raka piersi — szybko skierowano mnie do biopsji. Zdiagnozowano u mnie zapalnego raka piersi w stadium 3. Przeszłam operację, chemioterapię i radioterapię; 12 lat później jestem wówczas wyleczona. Najważniejsze: zaufaj swojej intuicji i walcz o swoje zdrowie.
#10

Miałem małą, wyniesioną czerwoną kropkę na nodze, myślałem, że to zadrapanie. Okazało się, że to rodzaj raka skóry. Jeśli coś rośnie — idź do lekarza.
#11

Gdy miałem około 10 lat, powiedziałem mamie, że gorzej widzę w szkole. Lekarz stwierdził oderwanie siatkówki i kazał natychmiast jechać na operację. Początkowo myśleliśmy, że dotyczy to jednego oka, ale specjaliści w Charleston i potem w Johns Hopkins odkryli, że sytuacja jest poważniejsza — groziła utratą wzroku w obu oczach. Dzięki szybkiej interwencji operacyjnej wszystko zakończyło się powodzeniem i dziś jestem wdzięczny za troskę pierwszego lekarza oraz całego zespołu chirurgicznego.
#12

Podczas jedzenia burgera nagle nie byłem w stanie otworzyć ust — myślałem, że to TMJ. Chirurg ust zalecił pilną operację po badaniu, ale zlecił też MRI — i wtedy przekazał mi drugą, przerażającą wiadomość: „Mamy masę w mózgu. Proszę iść do neurologa.” Okazało się, że to duża torbiel zaklinowana w okolicy lewego płata skroniowego. Na razie nie da się jej bezpiecznie usunąć, więc lekarze monitorują wzrost. To doświadczenie wstrząsnęło mną, bo dowiedziałem się o tym tuż przed zabiegiem związanym z żuchwą.
#13

Ponad 20 lat temu przeciąłem kciuk, rana nie chciała się goić i potrzebne były szwy. Lekarka wykonała rutynowy test ciążowy przed wypisaniem leku — i okazało się, że jestem w ciąży. Ta niespodzianka zmieniła całe moje życie: dziewczynka urodziła się po dziewięciu miesiącach i stała się najlepszą rzeczą, jaka mi się przytrafiła. Jesteśmy bardzo blisko — codziennie rozmawiamy i darzę ją ogromną miłością.
#14

Miałem 25 lat i ogólnie byłem osłabiony. Lekarz wyczuł coś w gardle i skierował mnie do specjalisty. Ze względu na historię ojca (anaplastyczny rak tarczycy, który skończył się jego śmiercią) wykonano u mnie częściową tyreoidektomię — wynik pokazał rak pęcherzykowy tarczycy z przerzutami do węzłów chłonnych. Usunięto obie części tarczycy; dziś biorę leki na tarczycę do końca życia i noszę bliznę na szyi. Dzięki wczesnemu wykryciu uniknąłem losu ojca.
#15

Miałem około 7–8 lat. Pewnego ranka złapał mnie silny ból brzucha; mama uznała, że chcę uniknąć szkoły. Badania w szpitalu nic nie wykazały, ale wieczorem przyznałem się, że żułem matę na odstraszanie komarów — myślałem, że to przekąska. Gdy lekarze dowiedzieli się o zatruciu, natychmiast przyjęli mnie na detoksykację. Spędziłem w szpitalu tydzień i wyszedłem cało.
Reklama
Kiedy na skórze pojawia się wysypka lub dziwne plamki, wiele osób odruchowo bagatelizuje problem. Poniższe historie to relacje osób, które zignorowały pozornie drobne dolegliwości — a okazały się one oznaką poważnych chorób.
#1

To nie ja, lecz mój mąż. W marcu 2012 r. budził się z bólem w prawym dolnym brzuchu, który trwał około pięciu minut i znikał na resztę dnia. Po około dziesięciu dniach namówiłam go na wizytę. Lekarz odesłał go na tomografię — po godzinie wrócił asystent medyczny z wynikami i powiedział: „Ma pan raka nerki w stadium 4. Proszę zadzwonić jutro do lekarza, żeby omówić leczenie.” Mniej niż trzy miesiące później mój mąż, mój partner przez 41 lat, nie żył już w domu, otoczony rodziną.
#2

Moja siostra zauważyła bezbolesne guzki na szyi i pod żebrami. Lekarze początkowo tłumaczyli to nagromadzeniem tłuszczu, ale kiedy zaczęła tracić 20 kg i nie mogła podnieść nogi, zrobiono jej badania. Okazało się, że ma gruźlicę mózgu, a usunięte guzki z piersi dały wynik pozytywny na raka — pierwotnie była to rak piersi z przerzutami do mózgu. Po pierwszej chemioterapii stan gwałtownie się pogorszył; trafiła na respirator i zmarła 10 stycznia 2021 r. Prośba: nigdy nie ignoruj nietypowych objawów, a gdy masz wątpliwości co do diagnozy — szukaj drugiej opinii.
#3

Miałam 15 lat, gdy wyczułam guzek na boku szyi. Początkowo lekceważyłam to i lekarze też. W końcu skierowano mnie do szpitala dziecięcego w Birmingham — rozpoznano u mnie raka nosogardzieli w stadium 3. Guz był duży i szybko się rozrastał. Rozpoczęłam chemioterapię następnego dnia; lekarz powiedział, że gdyby diagnoza opóźniła się miesiąc, przerodziłoby się to w stadium 4 i bym nie przeżyła.
#4

Moja córka miała nawracające zapalenie pęcherza i bóle pleców — myśleliśmy, że to kamień nerkowy. Po badaniach okazało się, że w nerce jest ogromny złośliwy guz, który dał przerzuty do płuc, wątroby, kręgosłupa, pęcherza i macicy. Została przyjęta do szpitala i zmarła dokładnie dwa tygodnie później. Nie mieliśmy pojęcia, jak poważne to było — wcześniej czuła się dobrze.
#5

Chodziłem do placówki wojskowej z powodu infekcji zatok i bólów głowy. Zrobiono mi tomografię i lekarz zalecił MRI. Okazało się, że mam zmianę kostną, która „zjadła” fragment czaszki. Chirurgia była konieczna, operacja została pokryta przez placówkę i zakończyła się sukcesem — zmiana była łagodna. Dziś wróciłem do aktywności, gram w siatkówkę i golfa — miałem szczęście, bo nie miałem żadnych objawów.
#6

Jako dziecko zauważyłam pod paznokciem u babci małą siniakowatą plamkę, która nie znikała przez miesiące. Natarczywie namawiałam ją, żeby poszła do lekarza — śmiała się, ale obiecała. Okazało się, że zmiana to złośliwy nowotwór i konieczna była amputacja kciuka. Gdyby poszła do lekarza później, prawdopodobnie by jej już nie było.
#7

Mój tata skarżył się na silne bóle głowy, myślał, że potrzebuje nowej recepty na okulary. Po jednym ataku, który go powalił, zabraliśmy go na SOR. Tomografia ujawniła guz mózgu. Operowali go dwa dni później po zmniejszeniu obrzęku; dano mu przewidywanie 3–6 miesięcy życia, ale przeżył 6,5 roku i spędził ten czas z rodziną, doświadczając niewielkich skutków ubocznych poza wrażliwością na hałas i tłumy.
#8

Po zadrapaniu się o metal pojawił się czerwony, swędzący guzek, który przerodził się w bolesną zmianę z żółtym środkiem. Po trzech tygodniach dermatolog wykonał biopsję — rozpoznano rogowiak kolczystokomórkowy (rak skóry). Zdarzyło się to szybko, od niewielkiego zadrapania.
#9

W wieku 35 lat zauważyłam czerwoną plamę na prawej piersi, która nie znikała i puchła. Lekarz najpierw podejrzewał zapalenie sutka i przepisał antybiotyki, ale bez poprawy. Po samodzielnym wyszukaniu informacji trafiłam na opis zapalnego raka piersi — szybko skierowano mnie do biopsji. Zdiagnozowano u mnie zapalnego raka piersi w stadium 3. Przeszłam operację, chemioterapię i radioterapię; 12 lat później jestem wówczas wyleczona. Najważniejsze: zaufaj swojej intuicji i walcz o swoje zdrowie.
#10

Miałem małą, wyniesioną czerwoną kropkę na nodze, myślałem, że to zadrapanie. Okazało się, że to rodzaj raka skóry. Jeśli coś rośnie — idź do lekarza.
#11

Gdy miałem około 10 lat, powiedziałem mamie, że gorzej widzę w szkole. Lekarz stwierdził oderwanie siatkówki i kazał natychmiast jechać na operację. Początkowo myśleliśmy, że dotyczy to jednego oka, ale specjaliści w Charleston i potem w Johns Hopkins odkryli, że sytuacja jest poważniejsza — groziła utratą wzroku w obu oczach. Dzięki szybkiej interwencji operacyjnej wszystko zakończyło się powodzeniem i dziś jestem wdzięczny za troskę pierwszego lekarza oraz całego zespołu chirurgicznego.
#12

Podczas jedzenia burgera nagle nie byłem w stanie otworzyć ust — myślałem, że to TMJ. Chirurg ust zalecił pilną operację po badaniu, ale zlecił też MRI — i wtedy przekazał mi drugą, przerażającą wiadomość: „Mamy masę w mózgu. Proszę iść do neurologa.” Okazało się, że to duża torbiel zaklinowana w okolicy lewego płata skroniowego. Na razie nie da się jej bezpiecznie usunąć, więc lekarze monitorują wzrost. To doświadczenie wstrząsnęło mną, bo dowiedziałem się o tym tuż przed zabiegiem związanym z żuchwą.
#13

Ponad 20 lat temu przeciąłem kciuk, rana nie chciała się goić i potrzebne były szwy. Lekarka wykonała rutynowy test ciążowy przed wypisaniem leku — i okazało się, że jestem w ciąży. Ta niespodzianka zmieniła całe moje życie: dziewczynka urodziła się po dziewięciu miesiącach i stała się najlepszą rzeczą, jaka mi się przytrafiła. Jesteśmy bardzo blisko — codziennie rozmawiamy i darzę ją ogromną miłością.
#14

Miałem 25 lat i ogólnie byłem osłabiony. Lekarz wyczuł coś w gardle i skierował mnie do specjalisty. Ze względu na historię ojca (anaplastyczny rak tarczycy, który skończył się jego śmiercią) wykonano u mnie częściową tyreoidektomię — wynik pokazał rak pęcherzykowy tarczycy z przerzutami do węzłów chłonnych. Usunięto obie części tarczycy; dziś biorę leki na tarczycę do końca życia i noszę bliznę na szyi. Dzięki wczesnemu wykryciu uniknąłem losu ojca.
#15

Miałem około 7–8 lat. Pewnego ranka złapał mnie silny ból brzucha; mama uznała, że chcę uniknąć szkoły. Badania w szpitalu nic nie wykazały, ale wieczorem przyznałem się, że żułem matę na odstraszanie komarów — myślałem, że to przekąska. Gdy lekarze dowiedzieli się o zatruciu, natychmiast przyjęli mnie na detoksykację. Spędziłem w szpitalu tydzień i wyszedłem cało.

















