Internet pełen jest zaskakujących historii, a medycyna dostarcza jedne z najbardziej fascynujących — od niesamowitych powrotów do zdrowia po zagadkowe rozpoznania. Poniższe przypadki ukazują złożoność i odporność ludzkiego organizmu oraz codzienne wyzwania i sukcesy w opiece zdrowotnej.
Przed i po: operacja ortognatyczna

Mężczyzna z Indii z ultra-rzadką hipertrychozą — tzw. „zespół wilkołaka”
To nieuleczalne schorzenie występuje tak rzadko, że historyczne szacunki wskazują jedynie na kilkadziesiąt opisanych przypadków od średniowiecza. Objawia się nadmiernym owłosieniem na dużych obszarach ciała.

Zwykła znamię

Wspomnienie o postępach w medycynie
Dziś medycyna i technologia zmieniły sposób, w jaki dbamy o zdrowie — od przełomowych terapii po urządzenia śledzące parametry życiowe. To historia innowacji, wytrwałości i ludzkiej pomysłowości.
Po operacji mózgu: śruba przebiła skórę i wypadła

Pacjent ugryziony przez bezpańskiego psa — szczepienie przeciw wściekliźnie i immunoglobulina

Reklama
„Ciasna sytuacja” — boa dusiciel na izbie przyjęć

Jak technologia zmienia codzienną opiekę zdrowotną
Smartwatche i inne noszone urządzenia potrafią monitorować tętno, sen, a nawet wykrywać arytmie — ułatwiając dbanie o zdrowie bez konieczności wizyty w klinice.
Antybiotykooporna infekcja spowodowała pęknięcie błony bębenkowej — dokumentacja gojenia cyfrowym otoskopem

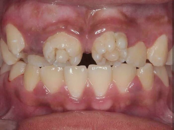
Molarne zmiany typu „morwa” związane z kiłą wrodzoną

Młody pacjent nadepnął na słupek stołu do gry w piłkarzyki — przeszycie podeszwy przez but i skarpetkę

Robotyka w chirurgii — mniejsze blizny i szybsza rekonwalescencja
Systemy wspomagane robotami pozwalają na zabiegi małoinwazyjne z niezwykłą precyzją, co przekłada się na krótszy czas powrotu do zdrowia i mniejszy ból po operacji.
Neurochirurg usuwa żywego robaka o długości 8 cm z mózgu kobiety

Dziecko wszczepione obok miedzianej wkładki domacicznej — rzadki przypadek ciąży obok IUD

Zamrożone czerwone krwinki od pacjentki o rzadszym fenotypie U- — przechowywane do badań przeciwciał

Postęp w leczeniu nowotworów: terapie celowane i immunoterapia
Nowoczesne terapie są bardziej precyzyjne i lepiej tolerowane niż klasyczna chemioterapia, co poprawia wyniki leczenia i jakość życia pacjentów.
Po witrektomii: jedna źrenica stale większa

Zdjęcie pokazujące, jak małe mogą być rozwijające się płuca płodu

Silnie pomarszczone palce po zrywaniu mango bez rękawic

Edytowanie genów: CRISPR i jego potencjał terapeutyczny
Technologia CRISPR umożliwia precyzyjną modyfikację DNA, co otwiera drogę do leczenia chorób genetycznych, choć wciąż wymaga dalszych badań i debat etycznych.
Moje paznokcie są pomarszczone i kruche

Paznokcie odpadły po chorobie dłoni, stóp i jamy ustnej (HFMD)
Po ciężkim przebiegu HFMD u niektórych pacjentów może dojść do odchodzenia paznokci — to przejściowe, choć nieprzyjemne powikłanie.

Osteosarcoma
Mięsak kości — nowotwór złośliwy wywodzący się z komórek tworzących kość. Najczęściej dotyczy młodych osób, zwykle przed 20. rokiem życia, kiedy centra wzrostu są najbardziej aktywne.

Telemedycyna i cyfrowe rekordy pacjentów
Konsultacje online stały się powszechne, a elektroniczne dokumentacje medyczne poprawiły koordynację opieki i zmniejszyły ryzyko pomyłek.
Nadciśnienie męża — lekarz zdziwiony, że był przytomny i rozmawiał

Krew od 5‑latka z zespołem nerczycowym

Poważnie skręcona kostka — przypadek do nauki

Szybki rozwój szczepionek — przykład szczepionek przeciw COVID-19
Szybkość opracowania szczepionek przeciw COVID-19 pokazała, jak daleko zaszły badania medyczne i współpraca naukowa.
Keratokonus obustronny
Keratokonus to schorzenie, w którym rogówka traci kulisty kształt i wypukla się ku przodowi, tworząc stożek. Zwykle pojawia się w okresie dojrzewania i często dotyczy obu oczu. Widoczny jest tutaj tzw. „refleks kropli oleju” (znak Charleuxa), ciemny refleks w obszarze stożka przy badaniu oftalmoskopowym.

Rok temu miałem… coś
Świąd ograniczony do ramion i nóg, konsultowany u dwóch lekarzy — podejrzenia grzybicze i bakteryjne, bez jednoznacznego rozpoznania. Przyczyny nie zawsze są oczywiste i czasem wymagają dodatkowych badań.

Zapadnięty nos

Cyfrowa transformacja i medycyna spersonalizowana
Elektroniczne karty pacjentów i analiza genetyczna pozwalają na lepsze dopasowanie terapii do indywidualnych potrzeb pacjenta — to istotny krok ku medycynie precyzyjnej.
Nietypowy widok z rezonansu magnetycznego

Zbyt gwałtowne wymioty i pojawienie się wybroczyn (petechiae) na powiekach i szyi

Przykłady te przypominają, jak różnorodne i zadziwiające potrafi być ludzkie ciało. Wiele opisanych przypadków to rzadkie zdarzenia lub powikłania, które uczą lekarzy i pacjentów, jak ważna jest czujność, diagnostyka i postęp nauki.
Reklama
Internet pełen jest zaskakujących historii, a medycyna dostarcza jedne z najbardziej fascynujących — od niesamowitych powrotów do zdrowia po zagadkowe rozpoznania. Poniższe przypadki ukazują złożoność i odporność ludzkiego organizmu oraz codzienne wyzwania i sukcesy w opiece zdrowotnej.
Przed i po: operacja ortognatyczna

Mężczyzna z Indii z ultra-rzadką hipertrychozą — tzw. „zespół wilkołaka”
To nieuleczalne schorzenie występuje tak rzadko, że historyczne szacunki wskazują jedynie na kilkadziesiąt opisanych przypadków od średniowiecza. Objawia się nadmiernym owłosieniem na dużych obszarach ciała.

Zwykła znamię

Wspomnienie o postępach w medycynie
Dziś medycyna i technologia zmieniły sposób, w jaki dbamy o zdrowie — od przełomowych terapii po urządzenia śledzące parametry życiowe. To historia innowacji, wytrwałości i ludzkiej pomysłowości.
Po operacji mózgu: śruba przebiła skórę i wypadła

Pacjent ugryziony przez bezpańskiego psa — szczepienie przeciw wściekliźnie i immunoglobulina

„Ciasna sytuacja” — boa dusiciel na izbie przyjęć

Jak technologia zmienia codzienną opiekę zdrowotną
Smartwatche i inne noszone urządzenia potrafią monitorować tętno, sen, a nawet wykrywać arytmie — ułatwiając dbanie o zdrowie bez konieczności wizyty w klinice.
Antybiotykooporna infekcja spowodowała pęknięcie błony bębenkowej — dokumentacja gojenia cyfrowym otoskopem

Molarne zmiany typu „morwa” związane z kiłą wrodzoną

Młody pacjent nadepnął na słupek stołu do gry w piłkarzyki — przeszycie podeszwy przez but i skarpetkę

Robotyka w chirurgii — mniejsze blizny i szybsza rekonwalescencja
Systemy wspomagane robotami pozwalają na zabiegi małoinwazyjne z niezwykłą precyzją, co przekłada się na krótszy czas powrotu do zdrowia i mniejszy ból po operacji.
Neurochirurg usuwa żywego robaka o długości 8 cm z mózgu kobiety

Dziecko wszczepione obok miedzianej wkładki domacicznej — rzadki przypadek ciąży obok IUD

Zamrożone czerwone krwinki od pacjentki o rzadszym fenotypie U- — przechowywane do badań przeciwciał

Postęp w leczeniu nowotworów: terapie celowane i immunoterapia
Nowoczesne terapie są bardziej precyzyjne i lepiej tolerowane niż klasyczna chemioterapia, co poprawia wyniki leczenia i jakość życia pacjentów.
Po witrektomii: jedna źrenica stale większa

Zdjęcie pokazujące, jak małe mogą być rozwijające się płuca płodu

Silnie pomarszczone palce po zrywaniu mango bez rękawic

Edytowanie genów: CRISPR i jego potencjał terapeutyczny
Technologia CRISPR umożliwia precyzyjną modyfikację DNA, co otwiera drogę do leczenia chorób genetycznych, choć wciąż wymaga dalszych badań i debat etycznych.
Moje paznokcie są pomarszczone i kruche

Paznokcie odpadły po chorobie dłoni, stóp i jamy ustnej (HFMD)
Po ciężkim przebiegu HFMD u niektórych pacjentów może dojść do odchodzenia paznokci — to przejściowe, choć nieprzyjemne powikłanie.

Osteosarcoma
Mięsak kości — nowotwór złośliwy wywodzący się z komórek tworzących kość. Najczęściej dotyczy młodych osób, zwykle przed 20. rokiem życia, kiedy centra wzrostu są najbardziej aktywne.

Telemedycyna i cyfrowe rekordy pacjentów
Konsultacje online stały się powszechne, a elektroniczne dokumentacje medyczne poprawiły koordynację opieki i zmniejszyły ryzyko pomyłek.
Nadciśnienie męża — lekarz zdziwiony, że był przytomny i rozmawiał

Krew od 5‑latka z zespołem nerczycowym

Poważnie skręcona kostka — przypadek do nauki

Szybki rozwój szczepionek — przykład szczepionek przeciw COVID-19
Szybkość opracowania szczepionek przeciw COVID-19 pokazała, jak daleko zaszły badania medyczne i współpraca naukowa.
Keratokonus obustronny
Keratokonus to schorzenie, w którym rogówka traci kulisty kształt i wypukla się ku przodowi, tworząc stożek. Zwykle pojawia się w okresie dojrzewania i często dotyczy obu oczu. Widoczny jest tutaj tzw. „refleks kropli oleju” (znak Charleuxa), ciemny refleks w obszarze stożka przy badaniu oftalmoskopowym.

Rok temu miałem… coś
Świąd ograniczony do ramion i nóg, konsultowany u dwóch lekarzy — podejrzenia grzybicze i bakteryjne, bez jednoznacznego rozpoznania. Przyczyny nie zawsze są oczywiste i czasem wymagają dodatkowych badań.

Zapadnięty nos

Cyfrowa transformacja i medycyna spersonalizowana
Elektroniczne karty pacjentów i analiza genetyczna pozwalają na lepsze dopasowanie terapii do indywidualnych potrzeb pacjenta — to istotny krok ku medycynie precyzyjnej.
Nietypowy widok z rezonansu magnetycznego

Zbyt gwałtowne wymioty i pojawienie się wybroczyn (petechiae) na powiekach i szyi

Przykłady te przypominają, jak różnorodne i zadziwiające potrafi być ludzkie ciało. Wiele opisanych przypadków to rzadkie zdarzenia lub powikłania, które uczą lekarzy i pacjentów, jak ważna jest czujność, diagnostyka i postęp nauki.
















